...
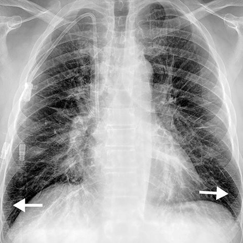
Chest Pain
Page 77:
Chest Pain


Mouse-Over: