...
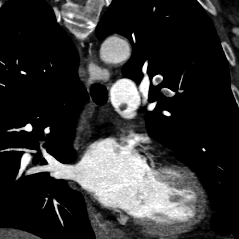
Acute Pulmonary Emboli (CT Pulmonary Angiogram) [2 of 3]
Page 81:
Acute Pulmonary Emboli (CT Pulmonary Angiogram) [2 of 3]


Lines
Lines and Labels
Mouse-Over: