...
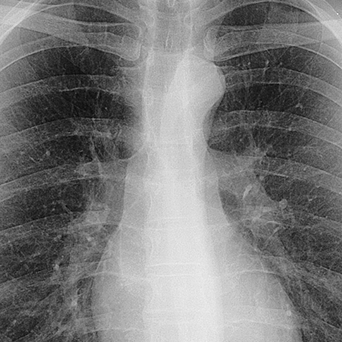
Normal Mediastinum, Aortopulmonary Window (PA CXR) [1 of 5]
Page 96:
Normal Mediastinum, Aortopulmonary Window (PA CXR) [1 of 5]


Lines
Lines and Labels
Mouse-Over: