...
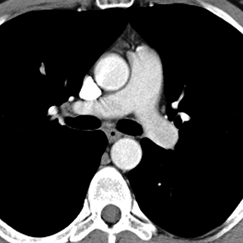
Normal Mediastinum (Axial CT) [4 of 5]
Page 99:
Normal Mediastinum (Axial CT) [4 of 5]


Lines
Lines and Labels
Mouse-Over: