...
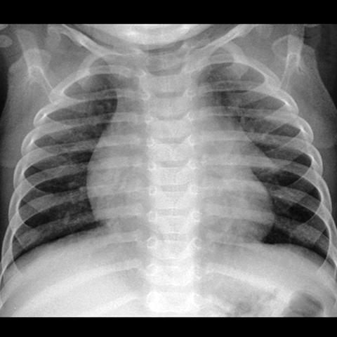
Thymus, Normal Infant (CXR) [1 of 2]
Page 101:
Thymus, Normal Infant (CXR) [1 of 2]


Lines
Lines and Labels
Mouse-Over: