...
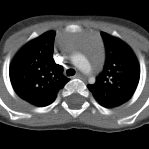
Thymus, 8 Months (Chest CT) [2 of 2]
Page 102:
Thymus, 8 Months (Chest CT) [2 of 2]


Lines
Lines and Labels
Mouse-Over: