...
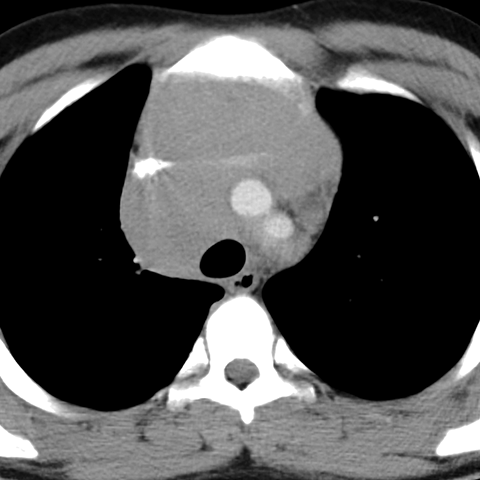
Diffuse Mediastinal Lymphadenopathy in Hodgkin's (Chest CT)
Page 113:
Diffuse Mediastinal Lymphadenopathy in Hodgkin's (Chest CT)


Lines
Lines and Labels
Mouse-Over: