...
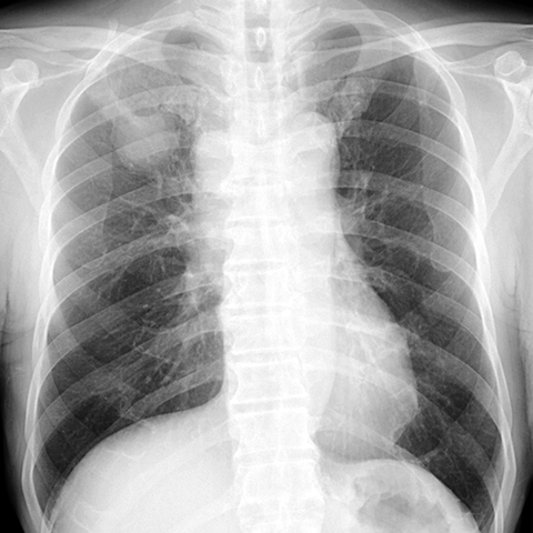
Mediastinal Lymphadenopathy, Lung Cancer (PA CXR) [1 of 3]
Page 114:
Mediastinal Lymphadenopathy, Lung Cancer (PA CXR) [1 of 3]


Lines
Lines and Labels
Mouse-Over: