...
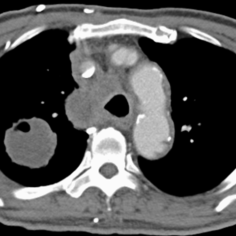
Mediastinal Lymphadenopathy, Lung Cancer (Chest CT) [2 of 3]
Page 115:
Mediastinal Lymphadenopathy, Lung Cancer (Chest CT) [2 of 3]


Lines
Lines and Labels
Mouse-Over: