...
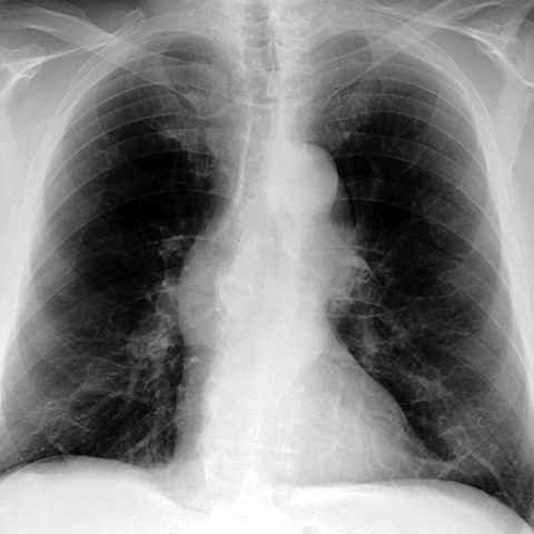
Aortic Enlargement and Tortuosity [1 of 2]
Page 123:
Aortic Enlargement and Tortuosity [1 of 2]


Lines
Lines and Labels
Mouse-Over: