...
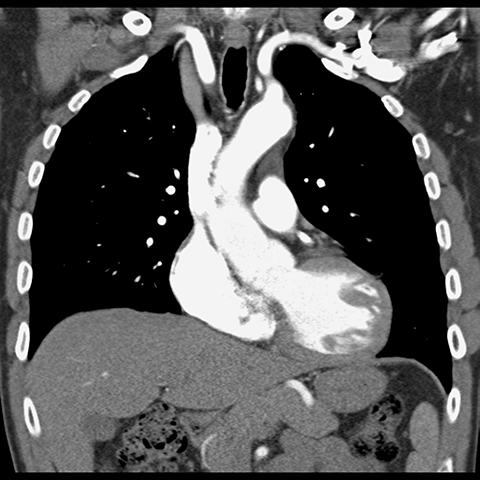
Coronal CT Angiography (Mediastinal Window) [1 of 2]
Page 125:
Coronal CT Angiography (Mediastinal Window) [1 of 2]


Lines
Lines and Labels
Mouse-Over: