...
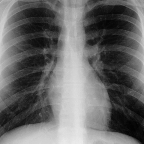
Normal Heart (PA CXR) [1 of 6]
Page 130:
Normal Heart (PA CXR) [1 of 6]


Lines
Lines and Labels
Mouse-Over: