...
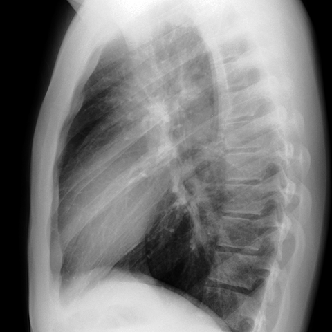
Normal Heart (Lateral CXR) [2 of 6]
Page 131:
Normal Heart (Lateral CXR) [2 of 6]


Lines
Lines and Labels
Mouse-Over: