...
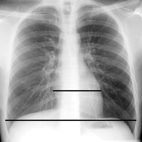
Cardiothoracic Ratio in Normal Heart [1 of 2]
Page 136:
Cardiothoracic Ratio in Normal Heart [1 of 2]


Lines
Lines and Labels
Mouse-Over: