...
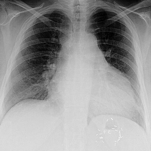
Cardiothoracic Ratio in Cardiomegaly [2 of 2]
Page 137:
Cardiothoracic Ratio in Cardiomegaly [2 of 2]


Lines
Lines and Labels
Mouse-Over: