...
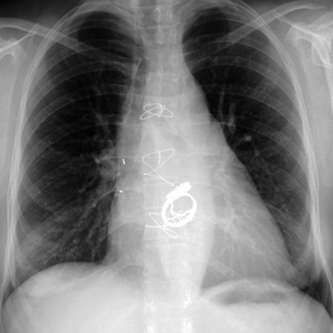
Prosthetic Aortic & Mitral Valves (PA CXR) [4 of 5]
Page 141:
Prosthetic Aortic & Mitral Valves (PA CXR) [4 of 5]


Lines
Lines and Labels
Mouse-Over: