...
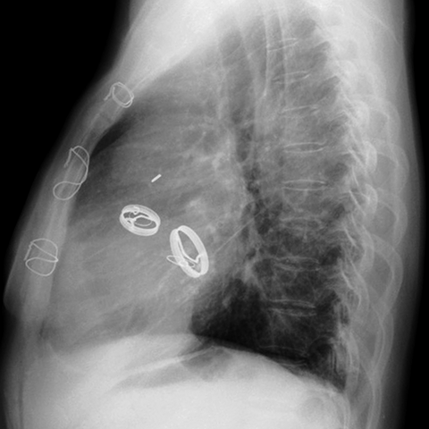
Prosthetic Aortic & Mitral Valves (Lateral CXR) [5 of 5]
Page 142:
Prosthetic Aortic & Mitral Valves (Lateral CXR) [5 of 5]


Lines
Lines and Labels
Mouse-Over: