...
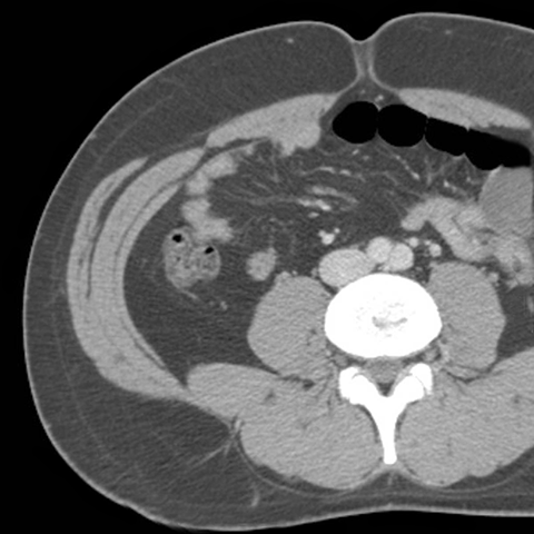
Abdominal Wall Muscles Normal Anatomy, Axial CT [5 of 9]
Page 155:
Abdominal Wall Muscles Normal Anatomy, Axial CT [5 of 9]


Lines
Lines and Labels
Mouse-Over: