...
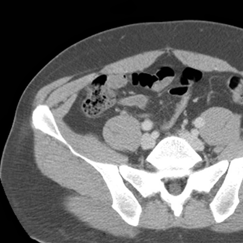
Abdominal Wall Muscles Normal Anatomy, Axial CT [6 of 9]
Page 156:
Abdominal Wall Muscles Normal Anatomy, Axial CT [6 of 9]


Lines
Lines and Labels
Mouse-Over: