...
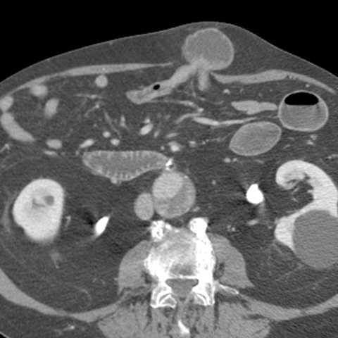
66 year-old male presents with a protruding abdominal mass and pain. [1 of 2]
Page 168:
66 year-old male presents with a protruding abdominal mass and pain. [1 of 2]


Lines
Lines and Labels
Mouse-Over: