...
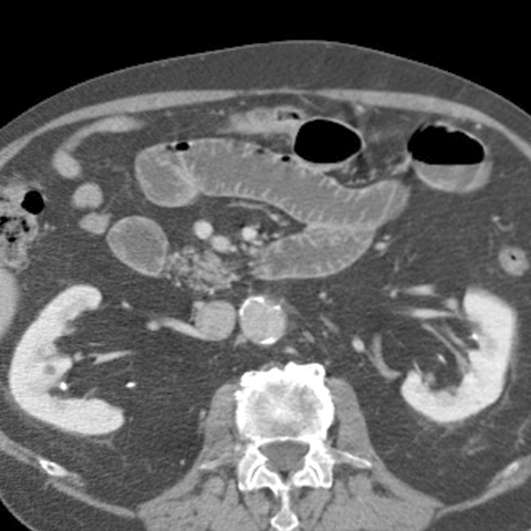
66 year-old male presents with a protruding abdominal mass and pain. [2 of 2]
Page 169:
66 year-old male presents with a protruding abdominal mass and pain. [2 of 2]


Lines
Lines and Labels
Mouse-Over: