...
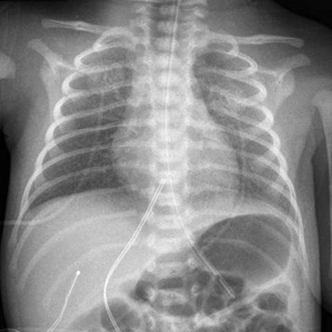
Portable AP Chest Radiograph [2 of 3]
Page 24:
Portable AP Chest Radiograph [2 of 3]


Lines
Lines and Labels
Mouse-Over: