...
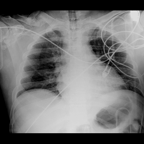
Portable AP Chest Radiograph [3 of 3]
Page 25:
Portable AP Chest Radiograph [3 of 3]


Lines
Lines and Labels
Mouse-Over: