Page 240:
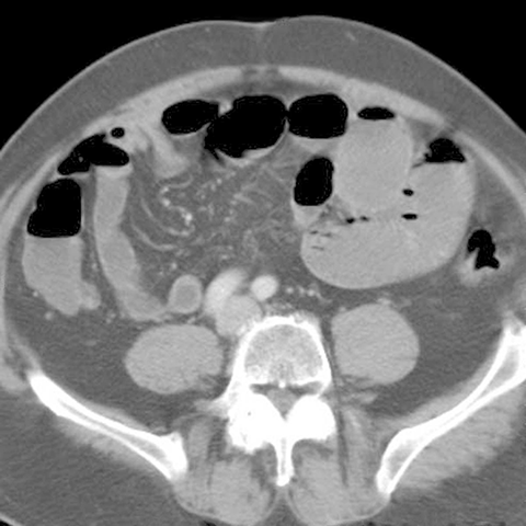
Small Intestinal Obstruction, axial CT [3 of 3]
Lines
Lines and Labels
Mouse-Over:
« Previous
Home
Next »