Page 241:
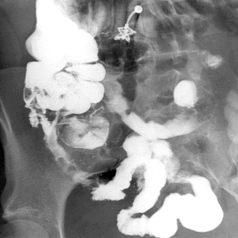
26 year-old female presents with chronic diarrhea, abdominal pain and weight loss. [1 of 2]
Lines
Lines and Labels
Mouse-Over:
« Previous
Home
Next »