Page 328:
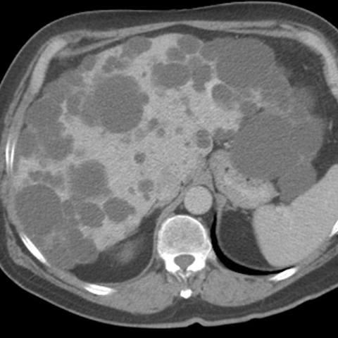
46 year-old male presents with increasing abdominal girth. [1 of 2]
Lines
Lines and Labels
Mouse-Over:
« Previous
Home
Next »