Page 329:
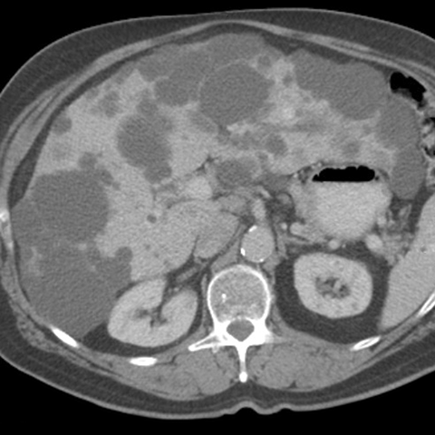
46 year-old male presents with increasing abdominal girth. [2 of 2]
Lines
Lines and Labels
Mouse-Over:
« Previous
Home
Next »