Page 353:
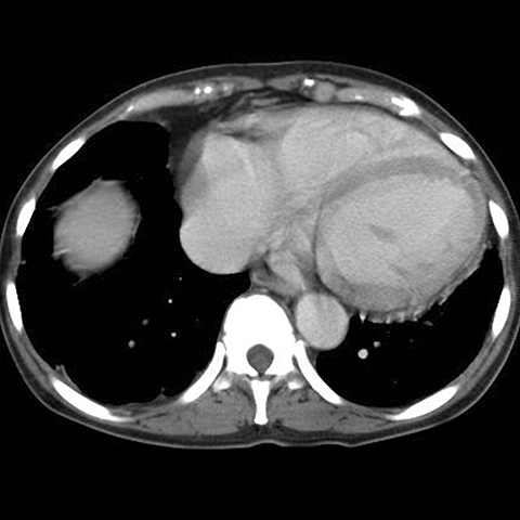
35-year-old male with sickle cell anemia and abdominal pain .
Lines
Lines and Labels
Mouse-Over:
« Previous
Home
Next »