Page 354:
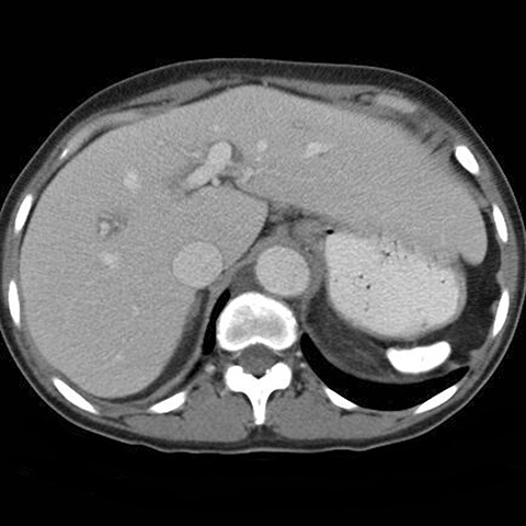
35-year-old male with sickle cell anemia presents with abdominal pain .
Lines
Lines and Labels
Mouse-Over:
« Previous
Home
Next »