Page 358:
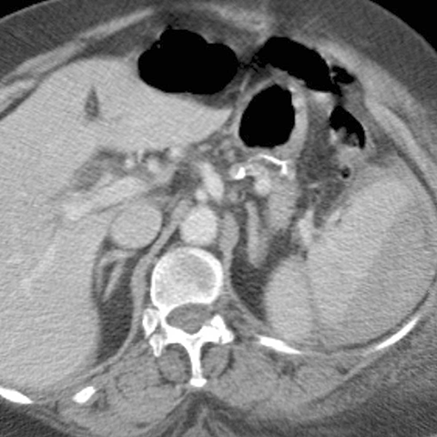
23-year-old male presents with blunt abdominal trauma after a motor vehicle accident [3 of 3]
Lines
Lines and Labels
Mouse-Over:
« Previous
Home
Next »