Page 359:
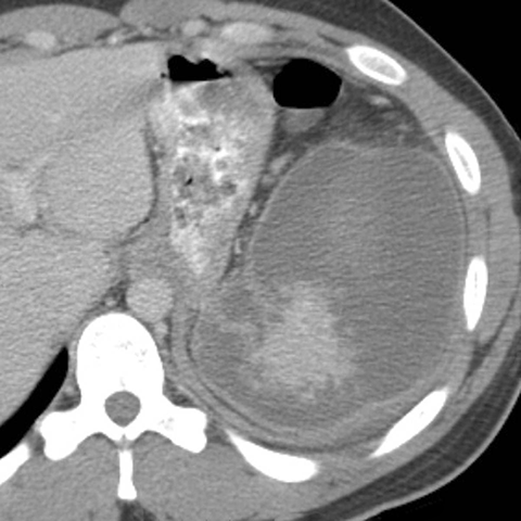
25-year-old male with mononucleosis presents with acute left upper quadrant pain
Lines
Lines and Labels
Mouse-Over:
« Previous
Home
Next »