Page 362:
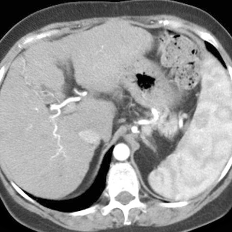
Heterogeneous Splenic Enhancement [1 of 2]
Lines
Lines and Labels
Mouse-Over:
« Previous
Home
Next »