Page 363:
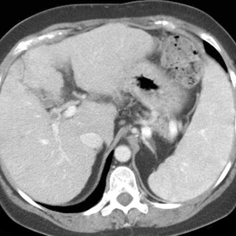
Heterogeneous Splenic Enhancement [2 of 2]
Lines
Lines and Labels
Mouse-Over:
« Previous
Home
Next »