...
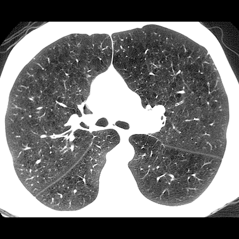
A 62 year-old male presents with chronic shortness of breath (Axial HRCT). [5 of 6]
Page 45:
A 62 year-old male presents with chronic shortness of breath (Axial HRCT). [5 of 6]


Lines
Lines and Labels
Mouse-Over: