...
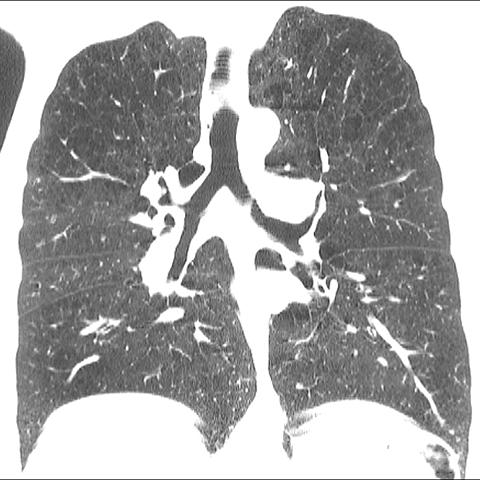
A 62 year-old male presents with chronic shortness of breath (Coronal HRCT). [6 of 6]
Page 46:
A 62 year-old male presents with chronic shortness of breath (Coronal HRCT). [6 of 6]


Lines
Lines and Labels
Mouse-Over: