...
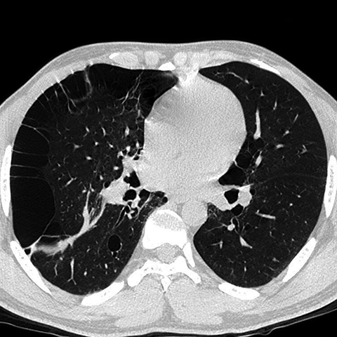
Paraseptal Emphysema & Bullous Disease [2 of 2]
Page 48:
Paraseptal Emphysema & Bullous Disease [2 of 2]


Lines
Lines and Labels
Mouse-Over: