...
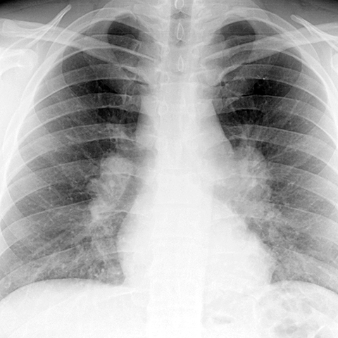
Hilar and Paratracheal Nodes in Sarcoidosis [1 of 3]
Page 49:
Hilar and Paratracheal Nodes in Sarcoidosis [1 of 3]


Lines
Lines and Labels
Mouse-Over: