...
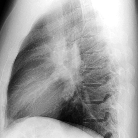
Hilar Nodes in Sarcoidosis [2 of 3]
Page 50:
Hilar Nodes in Sarcoidosis [2 of 3]


Lines
Lines and Labels
Mouse-Over: