...
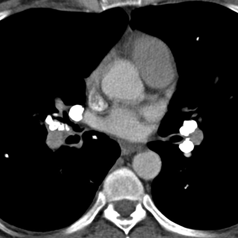
Calcified Hilar Nodes, Remote Granulomatous Infection [3 of 4]
Page 54:
Calcified Hilar Nodes, Remote Granulomatous Infection [3 of 4]


Lines
Lines and Labels
Mouse-Over: