...
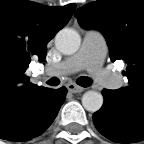
Calcified Hilar Nodes, Remote Granulomatous Infection [4 of 4]
Page 55:
Calcified Hilar Nodes, Remote Granulomatous Infection [4 of 4]


Lines
Lines and Labels
Mouse-Over: