Page 535:
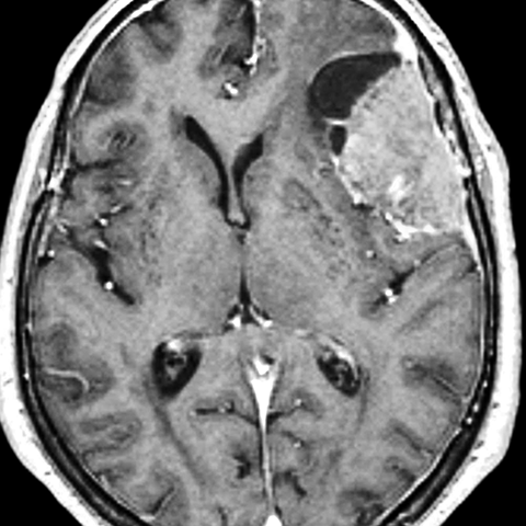
77 year old female presents with a chronic headache [2 of 2]
Lines
Lines and Labels
Mouse-Over:
« Previous
Home
Next »