Page 536:
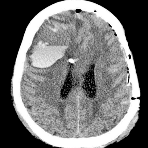
Hematoma
Lines
Lines and Labels
Mouse-Over:
« Previous
Home
Next »