第 558 页 Page 558:
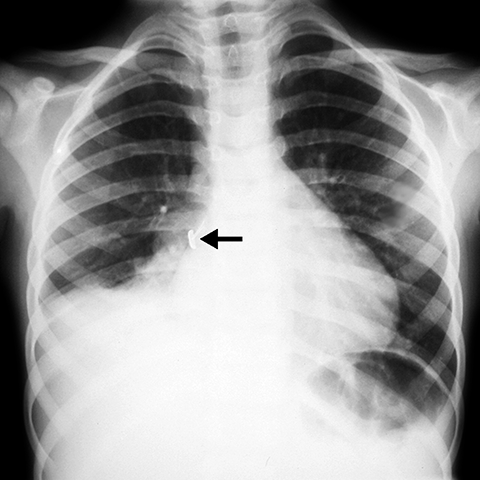
支气管异物Foreign body in Bronchus [1 of 3]
鼠标悬停:
« 上一页Previous
首页Home
下一页 Next »