...
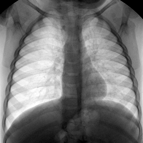
支气管异物Foreign body in Bronchus [2 of 3]
第559页 Page 559:
支气管异物Foreign body in Bronchus [2 of 3]


鼠标悬停Mouse-Over: