...
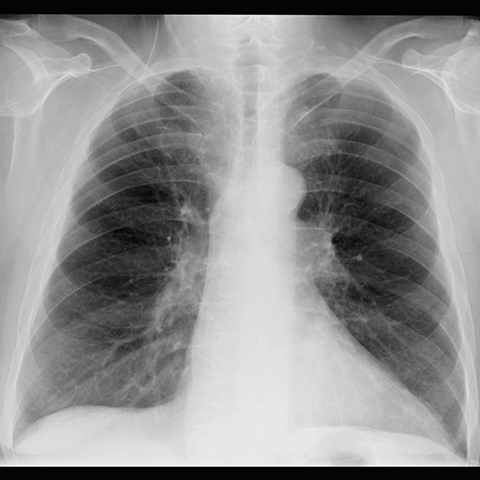
Subtle LLL Retrocardiac Opacity (CXR) [1 of 2]
Page 62:
Subtle LLL Retrocardiac Opacity (CXR) [1 of 2]


Lines
Lines and Labels
Mouse-Over: