...
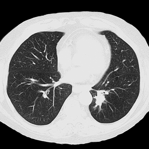
Subtle LLL Retrocardiac Opacity (Chest CT, Lung Window) [2 of 2]
Page 63:
Subtle LLL Retrocardiac Opacity (Chest CT, Lung Window) [2 of 2]


Lines
Lines and Labels
Mouse-Over: