...
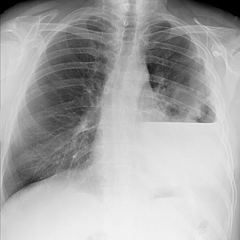
Left Empyema (PA CXR) [1 of 2]
Page 64:
Left Empyema (PA CXR) [1 of 2]


Lines
Lines and Labels
Mouse-Over: