...
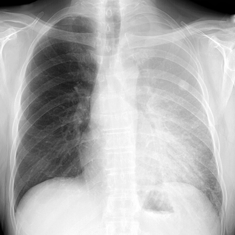
Left Upper Lobe Pneumonia [1 of 2]
Page 74:
Left Upper Lobe Pneumonia [1 of 2]


Lines
Lines and Labels
Mouse-Over: