...
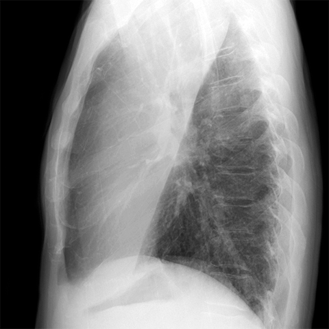
Left Upper Lobe Pneumonia [2 of 2]
Page 75:
Left Upper Lobe Pneumonia [2 of 2]


Lines
Lines and Labels
Mouse-Over: