...
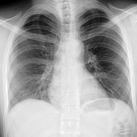
Pneumothorax [1 of 2]
Page 76:
Pneumothorax [1 of 2]


Lines
Lines and Labels
Mouse-Over: